(DEV) 🤖 VTeX: Solutions for Science Publishing logo


  • List of journals
  • Browse subjects
  • About Publisher
  • Help
  • Sitemap
Login Register

  1. Home
  2. Journals
  3. card
  4. To appear
  5. Cardiac intraventricular mass from lung ...

Seminars in Cardiovascular Medicine

Submit your article Information Webinars About journal
  • Article info
  • Full article
  • Related articles
  • More
    Article info Full article Related articles

Cardiac intraventricular mass from lung adenocarcinoma
Daniel Grados-Saso   Isaac Lacambra   Ana Callejo     All authors (6)

Authors

 
Placeholder
https://doi.org/10.1515/semcard-2017-0002
Pub. online: 23 September 2017      Type: Case Report      Open accessOpen Access

Received
13 March 2017
Accepted
26 June 2017
Published
23 September 2017

Abstract

We present a sole intracardiac mass with no other cardiac involvement in a patient with metastatic lung cancer disease. This mass can be well characterized by advanced 3D echocardiography and echocardiographic contrast.
A 70-year-old female presented with sudden low back pain. She was previously diagnosed with dyslipidaemia and type 2 diabetes mellitus. There was no history of previous cardiac illness. She did not suffer from dyspnea or chest pain. Cardiovascular examination was normal, without cardiac murmurs. Musculoskeletal magnetic resonance showed L2 metastatic epiduritis and multiple lumbosacral and iliac metastatic lesions, and thoracoabdominal computed tomography showed primitive neoplasm in the upper lobe of the left lung. Pathological study of needle aspiration sample of the lung was diagnostic for adenocarcinoma.
PET-study demostered lung and bone lesions and also mass in the left ventricle. A transthoracic 2D-echocardiogram was performed (Movie I in the Data supplement), showing a mass in the left ventricle.
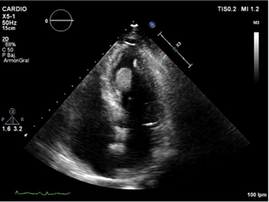
card-23-card171-g001.jpg
Figure 1.
Apical four-chamber echocardiographic view. Left ventricular mass attached to inferior interventricular septum.
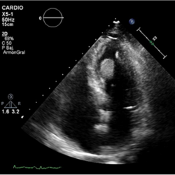
card-23-card171-g002.jpg
Figure 2.
Echo-contrast was administered, showing perfusion of the mass, excluding the diagnosis of thrombus.
No other intracardiac masses were found and there was not pericardial effusion. Left ventricular systolic function was normal, with ejection fraction of 63%. Tricuspid, aortic and pulmonary valve were normal and mitral valve had trace mitral regurgitation. There was no intraventricular pressure gradient caused by the mass, by color flow Doppler and continuous wave Doppler results.
card-23-card171-g003.jpg
Figure 3.
3D-transthoracic echocardiogram. Apical two-chamber view. Mass attached to the left ventricular inferior wall.
Conventional transthoracic echocardiography was repeated a week later, without changes. 2D-echocardiographic study was completed with intravenous echocardiographic contrast to demonstrate perfusion of the mass, excluding the diagnosis of thrombus (Movie II in the Data supplement) and with 3D echocardiography for better visualization and establishing spatial relationships of the mass (Movie III and Movie IV in the data supplement).
card-23-card171-g004.jpg
Figure 4.
3D-Zoom. Detailed view of the mass.
The patient had poor outcome and died, autopsy was not performed and therefore histologic study of the mass was not available. Although the PET study showed perfusion of the mass and contrast echocardiographic study demostrated perfusion. Based on the clinical scenario and the PET, 3D-transthoracic echocardiogram and contrast findings, the mass was suspected to be a cardiac metastasis. These images show sole intracardiac mass (probably metastasis) with no other cardiac involvement in a patient with metastatic lung cancer disease. This is an unusual case because of the atypic pattern of metastases in the heart [1], that more often is characterized by pericardial effusion and local extension [2] or involvement and atrial masses with invasion to the heart by the pulmonary veins [3]. Haematogenic dissemination is the most probable mechanism for this case. Three-dimensional echocardiography is useful in diagnosis and monitoring of myocardial masses [4, 5].

References

[1] 
Reynen K, Köckeritz U, Strasser RH. Metastases to the heart. Annals Oncol 2004;15:375–381. https://doi.org/10.1093/annonc/mdh086
[2] 
Paraskevaidis IA, Michalakeas CA, Papadopoulos CH, Anastasiou-Nana M. Cardiac tumors. ISRN Oncol 2011;2011:208929. http://dx.doi.org/10.5402/2011/208929
[3] 
Alexandrescu C, Civaia F, Dor V. Tumor thrombus in right atrium from lung adenocarcinoma. Ann Thorac Surg 2009;87:e11–e12. https://doi.org/10.1016/j.athoracsur.2008.08.013
[4] 
Kharwar RB, Chandra S, Dwivedi SK, Saran RK. A pedunculated left ventricular thrombus in a women with peripartum cardiomyopathy: evaluation by three dimensional echocardiography. J Cardiovasc Ultrasound 2014;22:139–143. https://doi.org/10.4250/jcu.2014.22.3.139
[5] 
Leggio S, Buccheri S, Soto-Parra H, Monte I. Direct left ventricular metastasis reduction: 3D-echo monitoring for management of clinical case. J Cardiovasc Echogr 2013;23:84–87. https://doi.org/10.4103/2211-4122.123955
Reading mode PDF XML

Table of contents
  • References

Copyright
© 2017 The Author(s)
by-nc-nd logo by-nc-nd logo by-nc-nd logo by-nc-nd logo
Open access article under the CC BY-NC-ND license.

Keywords
mass intracardiac echocardiography cancer

Metrics
since February 2017
3

Article info
views

2

Full article
views

2

PDF
downloads

2

XML
downloads

Export citation

Copy and paste formatted citation
Placeholder

Download citation in file

PDF Preview


Share


RSS

  • Figures
    4
  • Supplementary
    4
card-23-card171-g001.jpg
Figure 1.
Apical four-chamber echocardiographic view. Left ventricular mass attached to inferior interventricular septum.
card-23-card171-g002.jpg
Figure 2.
Echo-contrast was administered, showing perfusion of the mass, excluding the diagnosis of thrombus.
card-23-card171-g003.jpg
Figure 3.
3D-transthoracic echocardiogram. Apical two-chamber view. Mass attached to the left ventricular inferior wall.
card-23-card171-g004.jpg
Figure 4.
3D-Zoom. Detailed view of the mass.
Movie I.
card-23-card171_s001.avi
Movie II.
card-23-card171_s002.avi
Movie III.
card-23-card171_s003.avi
Movie IV.
card-23-card171_s004.avi
card-23-card171-g001.jpg
Figure 1.
Apical four-chamber echocardiographic view. Left ventricular mass attached to inferior interventricular septum.
card-23-card171-g002.jpg
Figure 2.
Echo-contrast was administered, showing perfusion of the mass, excluding the diagnosis of thrombus.
card-23-card171-g003.jpg
Figure 3.
3D-transthoracic echocardiogram. Apical two-chamber view. Mass attached to the left ventricular inferior wall.
card-23-card171-g004.jpg
Figure 4.
3D-Zoom. Detailed view of the mass.
Powered by PubliMill  •  Privacy policy